Світ вражає: Хворого на рак вперше вилікували за допомогою 3D-принтера
У Великобританії медики госпіталю Моррісон за допомогою 3D-принтера врятували пацієнта, у якого була ракова пухлина.
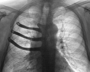
71-річному Пітеру Меггзу через рак довелося видалити половину грудної кістки і три ребра. Їх вдалося відновити завдяки 3D-принтеру. Про це повідомляє ABMU Health Board.
Раніше в подібних випадках хірурги відливали протез з медичного цементу під час операції, але технологія 3D-друку дозволила виготовити імплант з титанового сплаву і скоротити час операції на дві години. При виготовленні протеза використовувалася комп'ютерна томографія грудної клітини пацієнта. Це один із перших випадків друку подібних протезів.
Медики розповіли, що операція тривала 8 годин і пройшла успішно, що дозволить використовувати цю технологію у майбутньому.
Злоякісні ракові пухлини можна знищити, якщо інфікувати їх вірусами. Заяву зробили американські науковці з Університету Каліфорнії. Вони провели експеримент на пацюках. Хворим на рак тваринам ввели вірус. Коли він потрапив у кровоносну судину пухлини, дрібні новоутворення загинули. Згодом уся пухлина загинула під впливом потужної імунної реакції.
71-річному Пітеру Меггзу через рак довелося видалити половину грудної кістки і три ребра. Їх вдалося відновити завдяки 3D-принтеру. Про це повідомляє ABMU Health Board.
Раніше в подібних випадках хірурги відливали протез з медичного цементу під час операції, але технологія 3D-друку дозволила виготовити імплант з титанового сплаву і скоротити час операції на дві години. При виготовленні протеза використовувалася комп'ютерна томографія грудної клітини пацієнта. Це один із перших випадків друку подібних протезів.
Медики розповіли, що операція тривала 8 годин і пройшла успішно, що дозволить використовувати цю технологію у майбутньому.
Злоякісні ракові пухлини можна знищити, якщо інфікувати їх вірусами. Заяву зробили американські науковці з Університету Каліфорнії. Вони провели експеримент на пацюках. Хворим на рак тваринам ввели вірус. Коли він потрапив у кровоносну судину пухлини, дрібні новоутворення загинули. Згодом уся пухлина загинула під впливом потужної імунної реакції.
Коментарів: 0
«До війська пішов, аби захистити свою сім’ю і Батьківщину», – молодий оператор БПЛА зі сталевої сотки на псевдо Скриня
Сьогодні 08:12
Сьогодні 08:12
У луцькому коледжі відремонтують укриття
Сьогодні 07:44
Сьогодні 07:44
Молекула пітона може допомогти створити ліки проти ожиріння
Сьогодні 06:20
Сьогодні 06:20
22 березня: свята, події, факти. День Балтійського моря та Міжнародний день байдикування
Сьогодні 00:00
Сьогодні 00:00
У США зникла вчена, пов’язана з генералом ВПС Вільямом Маккаслендом та історіями про НЛО
21 Березня 2026 23:35
21 Березня 2026 23:35
Новим патріархом УПЦ КП обрали архієпископа Сумського Никодима
21 Березня 2026 23:07
21 Березня 2026 23:07

Додати коментар:
УВАГА! Користувач www.volynnews.com має розуміти, що коментування на сайті створені аж ніяк не для політичного піару чи антипіару, зведення особистих рахунків, комерційної реклами, образ, безпідставних звинувачень та інших некоректних і негідних речей. Утім коментарі – це не редакційні матеріали, не мають попередньої модерації, суб’єктивні повідомлення і можуть містити недостовірну інформацію.