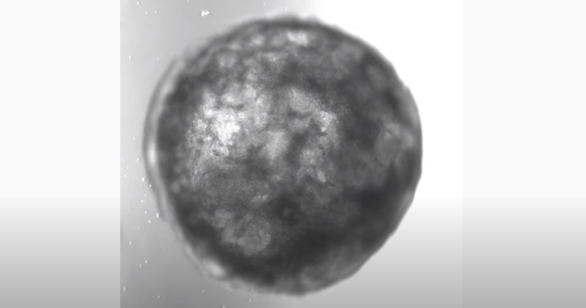
Світ вражає: Науковці виростили штучне серце: який вигляд воно має. Відео
Австрійські вчені успішно виростили маленьке штучне серце. Це перший подібний мініатюрний орган з однією камерою, що самоорганізується.
Як повідомляє ТСН, фахівці впливали на людські стовбурові клітини, використовуючи шість сигнальних шляхів, які відповідають за розвиток серця у людського ембріона, внаслідок чого модель сформувалася самостійно.
Застосовуючи аналогічний метод передачі сигналів, вчені раніше змогли виростити органоїди ока, мозку і кишечника.
«Справа не в тому, що ми задіюємо процедури, відмінні від інших дослідників, – ми просто використовуємо всі відомі сигнали», – пояснила біологиня Саша Менджан з Австрійської академії наук у Відні.
Такий зовнішній вплив призводить до поділу стовбурових клітин, дозволяючи штучному органу рости і формувати нові шари під контролем учених.
Команда вважає, що завдяки органоїду можна буде тестувати серцеві препарати на безпеку та ефективність, перш ніж відправляти на клінічні випробування.
Це допоможе без шкоди для здоров’я людей визначити, чи є ліки токсичними і наскільки вони дають раду з завданням. Тепер учені сподіваються виростити серце з декількома камерами, ще більше схоже на орган людини.
Як повідомляє ТСН, фахівці впливали на людські стовбурові клітини, використовуючи шість сигнальних шляхів, які відповідають за розвиток серця у людського ембріона, внаслідок чого модель сформувалася самостійно.
Застосовуючи аналогічний метод передачі сигналів, вчені раніше змогли виростити органоїди ока, мозку і кишечника.
«Справа не в тому, що ми задіюємо процедури, відмінні від інших дослідників, – ми просто використовуємо всі відомі сигнали», – пояснила біологиня Саша Менджан з Австрійської академії наук у Відні.
Такий зовнішній вплив призводить до поділу стовбурових клітин, дозволяючи штучному органу рости і формувати нові шари під контролем учених.
Команда вважає, що завдяки органоїду можна буде тестувати серцеві препарати на безпеку та ефективність, перш ніж відправляти на клінічні випробування.
Це допоможе без шкоди для здоров’я людей визначити, чи є ліки токсичними і наскільки вони дають раду з завданням. Тепер учені сподіваються виростити серце з декількома камерами, ще більше схоже на орган людини.
Коментарів: 0
На Волині судили десятикласника, бо курив цигарки біля ліцею
Сьогодні 07:44
Сьогодні 07:44
Масштабні археологічні дослідження у Володимирі: під підлогою споруди знайшли «Скарб купця»
Сьогодні 07:16
Сьогодні 07:16
Олицька громада продає будівлю фотоательє
Сьогодні 06:48
Сьогодні 06:48
У Болівії вздовж давнього узбережжя виявили 18 тисяч слідів динозаврів: це новий рекорд
Сьогодні 00:34
Сьогодні 00:34
7 грудня: свята, події, факти. День написання листів та Міжнародний день цивільної авіації
Сьогодні 00:00
Сьогодні 00:00
На Волині підліток на мотоциклі влаштував ДТП з двома автівками. Як суд покарав маму хлопця
6 Грудня 2025 23:37
6 Грудня 2025 23:37
Закидали королівські коштовності десертами: у лондонському музеї затримали протестувальників
6 Грудня 2025 23:09
6 Грудня 2025 23:09
«Любарт» у драматичному поєдинку програв Tyre Expert
6 Грудня 2025 22:41
6 Грудня 2025 22:41
П'яний волинянин сокирою хотів убити поліцейського. Він відсидить 10 років
6 Грудня 2025 22:13
6 Грудня 2025 22:13

Додати коментар:
УВАГА! Користувач www.volynnews.com має розуміти, що коментування на сайті створені аж ніяк не для політичного піару чи антипіару, зведення особистих рахунків, комерційної реклами, образ, безпідставних звинувачень та інших некоректних і негідних речей. Утім коментарі – це не редакційні матеріали, не мають попередньої модерації, суб’єктивні повідомлення і можуть містити недостовірну інформацію.