Світ вражає: Вчені близькі до створення штучного яєчника
Вчені зробили перші кроки до розвитку штучного яєчника. Метод спрямований на те, аби допомогти жінкам, які перебувають в зоні ризику безплідності, завагітніти. Зокрема, тим, хто отримує хіміотерапію, повідомляє ВВС України.
Данські вчені змогли видалити частини яєчника та внести в них зміни, аби згодом потенційно можна було пересадити їх жінкам, які хочуть завагітніти. Експерти вважають, що це "неймовірне" дослідження, але воно ще потребує додаткових випробовувань.
Лікування раку, яке включає хіміотерапію та променеву терапію, часто може пошкодити яєчники і жінка стає безплідною.
Одним зі шляхів збереження шансів на зачаття - це трансплантація тканин яєчників. Яєчники повністю або частково видаляють та заморожують для пізнішого використання, аби вони не були пошкоджені.Це єдиний спосіб завагітніти тим жінкам, у яких не відбувається овуляція.
Проте існує невеликий ризик того, що в хворих ракові клітини містяться і в яєчниках, що підвищує шанси на повернення хвороби після трансплантації.
Цей ризик, хоч і "дуже низький", але стосується жінок, які мають певні форми раку, наприклад, лейкемію.
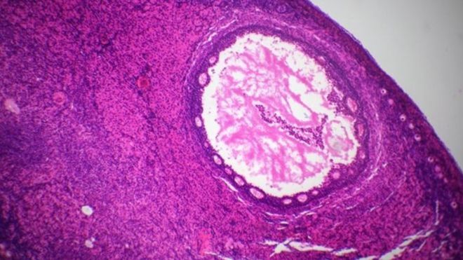
Щоб усунути цей ризик, вчені госпіталю Rigshospitalet у Копенгагені змогли в лабораторії виростити штучний яєчник. Цей штучний яєчник потім пересадили миші, де він прижився, клітини зростали. Експерти вважають, що цю технологію варто випробувати на людях і цей метод може мати переваги.
Консультант-гінеколог госпіталю Hammersmith (Лондон) Стюарт Левері повідомив, що трансплантація тканин яєчників дозволить жінкам завагітніти "природно", на відміну від штучного запліднення, в ході якого яйцеклітину запліднюють в лабораторії, а потім переміщують до матки.
Доктор Джиліан Локвуд, медичний директор компанії Midlands Fertility Services, вважає, що ще одною перевагою трансплантації яєчників є відновлення жіночого організму без гормональної терапії.
Попереду ще тестування на людях, яке триватиме найближчі три-чотири роки.Дослідження представили на щорічній зустрічі Європейського товариства репродукції та ембріології людини.
Данські вчені змогли видалити частини яєчника та внести в них зміни, аби згодом потенційно можна було пересадити їх жінкам, які хочуть завагітніти. Експерти вважають, що це "неймовірне" дослідження, але воно ще потребує додаткових випробовувань.
Лікування раку, яке включає хіміотерапію та променеву терапію, часто може пошкодити яєчники і жінка стає безплідною.
Одним зі шляхів збереження шансів на зачаття - це трансплантація тканин яєчників. Яєчники повністю або частково видаляють та заморожують для пізнішого використання, аби вони не були пошкоджені.Це єдиний спосіб завагітніти тим жінкам, у яких не відбувається овуляція.
Проте існує невеликий ризик того, що в хворих ракові клітини містяться і в яєчниках, що підвищує шанси на повернення хвороби після трансплантації.
Цей ризик, хоч і "дуже низький", але стосується жінок, які мають певні форми раку, наприклад, лейкемію.
Щоб усунути цей ризик, вчені госпіталю Rigshospitalet у Копенгагені змогли в лабораторії виростити штучний яєчник. Цей штучний яєчник потім пересадили миші, де він прижився, клітини зростали. Експерти вважають, що цю технологію варто випробувати на людях і цей метод може мати переваги.
Консультант-гінеколог госпіталю Hammersmith (Лондон) Стюарт Левері повідомив, що трансплантація тканин яєчників дозволить жінкам завагітніти "природно", на відміну від штучного запліднення, в ході якого яйцеклітину запліднюють в лабораторії, а потім переміщують до матки.
Доктор Джиліан Локвуд, медичний директор компанії Midlands Fertility Services, вважає, що ще одною перевагою трансплантації яєчників є відновлення жіночого організму без гормональної терапії.
Попереду ще тестування на людях, яке триватиме найближчі три-чотири роки.Дослідження представили на щорічній зустрічі Європейського товариства репродукції та ембріології людини.
Коментарів: 0
22 березня: свята, події, факти. День Балтійського моря та Міжнародний день байдикування
Сьогодні 00:00
Сьогодні 00:00
У США зникла вчена, пов’язана з генералом ВПС Вільямом Маккаслендом та історіями про НЛО
21 Березня 2026 23:35
21 Березня 2026 23:35
Новим патріархом УПЦ КП обрали архієпископа Сумського Никодима
21 Березня 2026 23:07
21 Березня 2026 23:07
У Луцьку через водія Mercedes-Benz, який не пропустив швидку, зіткнулися три авто. Яке рішення суду
21 Березня 2026 22:39
21 Березня 2026 22:39
У Празі люди вийшли на протест проти уряду премʼєра Бабіша
21 Березня 2026 22:11
21 Березня 2026 22:11
У Варшаві під час ремонту будинку сталася пожежа, серед загиблих – двоє українців
21 Березня 2026 21:43
21 Березня 2026 21:43
Під бізнес: селище на Волині продає комунальну землю
21 Березня 2026 21:15
21 Березня 2026 21:15
Спортсмен з Волині здобув срібло чемпіонату України з біатлону
21 Березня 2026 20:47
21 Березня 2026 20:47
На щиті повертається Герой з Городищенської громади Тарас Шавлай
21 Березня 2026 20:19
21 Березня 2026 20:19
У селі біля Луцька в останній шлях провели Героя Сергія Гузя
21 Березня 2026 19:51
21 Березня 2026 19:51
У Луцьку зупинили двох п’яних чоловіків на електросамокатах
21 Березня 2026 19:23
21 Березня 2026 19:23


Додати коментар:
УВАГА! Користувач www.volynnews.com має розуміти, що коментування на сайті створені аж ніяк не для політичного піару чи антипіару, зведення особистих рахунків, комерційної реклами, образ, безпідставних звинувачень та інших некоректних і негідних речей. Утім коментарі – це не редакційні матеріали, не мають попередньої модерації, суб’єктивні повідомлення і можуть містити недостовірну інформацію.