У Львові нейрохірурги з Волині провели унікальну операцію на мозку підліткові
Уперше в історії української медицини дитині провели операцію на мозку – з пробудженням. Під час найважливішої частини втручання вона мала бути при свідомості. Зважилися стати першими заради порятунку життя дитини нейрохірурги Лікарні Святого Миколая на чолі з завідувачем відділення нейрохірургії Михайлом Ловгою, який довгий час працював у Волинській обласній дитячій лікарні.
Про це повідомили в Першому медичному об’єднанні Львова.
15-річний Максим Волович з Тернополя з восьмирічного віку страждає від сильних епілептичних нападів. Судоми викликає пухлина в мозку. Спровокувати черговий напад може будь-що: фізична активність чи прояв емоцій. Хлопчик, який до судом займався танцями і мріяв стати чемпіоном, навіть бігати більше не міг. Сміх чи сльози теж могли спровокувати напад.
Читати ще: Розбудили під час операції: нейрохірург з Луцька видалив пухлину у мозку 16-річної дівчини
Дитинство Максима минуло з суворими обмеженнями, під постійним наглядом мами, яка цілодобово пильнувала сина і боялась за його життя. Останніми роками юнаку стало важко говорити та запам’ятовувати.З роками пухлина виросла і напади посилились. Утворення почало тиснути на ділянки мозку, які відповідають за мову і рухи. Виник високий ризик паралічу правої половини тіла. Мама Максима не могла з цим змиритися і звернулась до львівських лікарів.
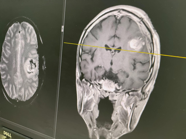
Ті після ретельного обстеження дійшли висновку, що єдиний шанс для Максима – це операція на мозку з пробудженням – AWAKE SURGERY.«Далі тягнути нема куди. Наріс набряк навколо. Є вже ознаки того, що ця пухлина добряче тисне на мозок. Це ризик смерті. Тому однозначно потрібно це лікувати. Обов’язково потрібно видаляти», – сказав завідувач нейрохірургічного відділення Михайло Ловга.Під час найважливішої частини операції – видалення самої пухлини – лікарям вдалося розбудити Максима. Це потрібно, аби контролювати його мову та рухи і не пошкодити ділянки мозку, що за них відповідають.Медики розважали Максима розмовами про його улюблених супергероїв коміксів та вигадані всесвіти і не давали хлопцеві заснути. Поки він говорив, активність у ділянках, які відповідають за рухи кінцівками та мовлення, фіксували нейрофізіологи Марія Павлюк та Юлія Галій-Герасимович.Операція тривала сім годин. Після неї Максим на радість мамі та медикам заговорив ще краще, ніж до втручання. Результати МРТ теж обнадійливі: лікарям вдалося повністю видалити пухлину. А гістологічне дослідження показало, що утворення було доброякісним. І подальшого лікування пацієнт не потребує. Епілептичних нападів більше немає.За тиждень після операції з пробудженням Максима виписують.
«Ми щасливі! Приїхали хворі, а їдемо здорові!» – каже його мама. А сам Максим повсякчас усміхається і не втомлюється ділитися планами: хоче на спорт та мріє подорожувати.
Підписуйтесь на наш Telegram-канал, аби першими дізнаватись найактуальніші новини Волині, України та світу
Про це повідомили в Першому медичному об’єднанні Львова.
15-річний Максим Волович з Тернополя з восьмирічного віку страждає від сильних епілептичних нападів. Судоми викликає пухлина в мозку. Спровокувати черговий напад може будь-що: фізична активність чи прояв емоцій. Хлопчик, який до судом займався танцями і мріяв стати чемпіоном, навіть бігати більше не міг. Сміх чи сльози теж могли спровокувати напад.
Читати ще: Розбудили під час операції: нейрохірург з Луцька видалив пухлину у мозку 16-річної дівчини
Дитинство Максима минуло з суворими обмеженнями, під постійним наглядом мами, яка цілодобово пильнувала сина і боялась за його життя. Останніми роками юнаку стало важко говорити та запам’ятовувати.З роками пухлина виросла і напади посилились. Утворення почало тиснути на ділянки мозку, які відповідають за мову і рухи. Виник високий ризик паралічу правої половини тіла. Мама Максима не могла з цим змиритися і звернулась до львівських лікарів.
Ті після ретельного обстеження дійшли висновку, що єдиний шанс для Максима – це операція на мозку з пробудженням – AWAKE SURGERY.«Далі тягнути нема куди. Наріс набряк навколо. Є вже ознаки того, що ця пухлина добряче тисне на мозок. Це ризик смерті. Тому однозначно потрібно це лікувати. Обов’язково потрібно видаляти», – сказав завідувач нейрохірургічного відділення Михайло Ловга.Під час найважливішої частини операції – видалення самої пухлини – лікарям вдалося розбудити Максима. Це потрібно, аби контролювати його мову та рухи і не пошкодити ділянки мозку, що за них відповідають.Медики розважали Максима розмовами про його улюблених супергероїв коміксів та вигадані всесвіти і не давали хлопцеві заснути. Поки він говорив, активність у ділянках, які відповідають за рухи кінцівками та мовлення, фіксували нейрофізіологи Марія Павлюк та Юлія Галій-Герасимович.Операція тривала сім годин. Після неї Максим на радість мамі та медикам заговорив ще краще, ніж до втручання. Результати МРТ теж обнадійливі: лікарям вдалося повністю видалити пухлину. А гістологічне дослідження показало, що утворення було доброякісним. І подальшого лікування пацієнт не потребує. Епілептичних нападів більше немає.За тиждень після операції з пробудженням Максима виписують.
«Ми щасливі! Приїхали хворі, а їдемо здорові!» – каже його мама. А сам Максим повсякчас усміхається і не втомлюється ділитися планами: хоче на спорт та мріє подорожувати.
Знайшли помилку? Виділіть текст і натисніть
Підписуйтесь на наш Telegram-канал, аби першими дізнаватись найактуальніші новини Волині, України та світу
Коментарів: 1
Лучанка
Показати IP
25 Квітня 2023 20:39
Це справжній лікарський подвиг, за таку роботу треба нагороджувати!
Учені знайшли один з найбільших обʼєктів у Всесвіті – космічну нитку завдовжки 50 млн світлових років
Сьогодні 00:36
Сьогодні 00:36
Інститут миру США перейменували на честь Трампа
5 Грудня 2025 23:38
5 Грудня 2025 23:38
Netflix купує Warner Bros. за понад $82 мільярди
5 Грудня 2025 23:18
5 Грудня 2025 23:18
У США засудили лікаря, який продавав Меттью Перрі кетамін
5 Грудня 2025 23:00
5 Грудня 2025 23:00
Серед найкращих документалок 2025 року – «2000 метрів до Андріївки» Мстислава Чернова
5 Грудня 2025 22:40
5 Грудня 2025 22:40
Волинський військовий, який просився на лікування, відсидить п'ять років за СЗЧ
5 Грудня 2025 22:22
5 Грудня 2025 22:22
Швеція заради України зупинить допомогу п'яти країнам
5 Грудня 2025 22:02
5 Грудня 2025 22:02
Військовий з Волині отримав нагороду від Головнокомандувача ЗСУ
5 Грудня 2025 21:43
5 Грудня 2025 21:43
Винуватця п'яної ДТП на Глушець у Луцьку засудили до 7 років ув'язнення
5 Грудня 2025 21:25
5 Грудня 2025 21:25












Додати коментар:
УВАГА! Користувач www.volynnews.com має розуміти, що коментування на сайті створені аж ніяк не для політичного піару чи антипіару, зведення особистих рахунків, комерційної реклами, образ, безпідставних звинувачень та інших некоректних і негідних речей. Утім коментарі – це не редакційні матеріали, не мають попередньої модерації, суб’єктивні повідомлення і можуть містити недостовірну інформацію.