Ліки дають позитивну дію: викладачці Лесиного вишу потрібна допомога на лікування

Ось уже пів року викладачка філософії Волинського національного університету імені Лесі Українки Опейда Людмила Миколаївна проходить дороге лікування у Львові. У жінки діагностували захворювання печінки, через яке влітку минулого року лікарям довелося прооперувати пацієнтку. Хвороба не відступила повністю, і щоб зменшити її вплив на організм, потрібно лікуватися спеціальними препаратами.
25 Квітня 2024 08:59
«Хочу швидше стати на ногу та далі двіжувати»: 22-річний воїн з Волині проходить реабілітацію на Дніпропетровщині
Віктор після завершення строкової служби встиг побути вдома кілька місяців. Каже: розпочалося повномасштабне вторгнення РФ, тож вирішив піти добровольцем. Хлопець весь час воював на Херсонському напрямку. В лютому 2024 року автівку, в якій він їхав, атакував російський дрон. Друг Віктора загинув на місці, а його врятували бійці іншої бригади. Військовий втратив праву ногу та переніс понад 10 операцій.
24 Квітня 2024 20:54
Кінцівку вирвало на будівництві: луцькі хірурги пришили руку 37-річному волинянину
15 квітня чоловіка доправили до лікарні з відчленуванням променевого запʼясного суглоба. Рука ледь трималася на залишках шкіри. Його відразу взяли в операційну. Лікарям довелося складати і фіксувати кістки, під мікроскопом зшивати артерії, вени, нерви та сухожилки.
24 Квітня 2024 10:05
Можна отримати консультації лікарів: волинян кличуть відвідати «Територію здоров’я»
Під час виїзних заходів діють різні локації, де можна отримати медичні послуги без направлень і черг, перевірити стан здоров’я за ключовими показниками, отримати консультації лікарів різних спеціальностей та фахові роз’яснення щодо здорового способу життя, правильного харчування, технік самодопомоги для покращення психологічного стану.
23 Квітня 2024 15:47
Вчені виявили здатність мікропластику проникати в клітини мозку
У результаті дослідження, проведеного турецькими вченими, було виявлено здатність мікропластику проникати в клітини мозку. Вчені продовжують з’ясовувати, чи впливає мікропластик на появу таких захворювань, як-от хвороба Альцгеймера, інсульт та інші.
22 Квітня 2024 00:34
Програма медгарантій в Україні: безоплатну допомогу при інсульті надають 227 лікарень
За надання медичної допомоги при гострому мозковому інсульті із застосуванням ендоваскулярних втручань лікарні отримують 131 472 грн; за надання медичної допомоги при гострому мозковому інсульті із застосуванням тромболітичної терапії – 62 565 грн; за надання медичної допомоги при гострому мозковому інсульті без застосування ендоваскулярних втручань або тромболітичної терапії – 15 643 грн.
20 Квітня 2024 07:41
У Львові хірурги витягнули уламок від снаряду з грудної клітини волинського військового
42-річний Роман Кліза – з Волині. До великої війни працював водієм за кордоном. У день повномасштабного вторгнення приєднався до ЗСУ. У грудні минулого року зазнав важкого поранення.
19 Квітня 2024 19:49
Врятували маму й немовля: на Волині оперували жінку з величезною кістою
Кіста почала активно рости на останніх термінах вагітності: консиліумом лікарів вирішено, що доцільно буде прооперувати жінку вже після пологів. Пологи відбулися природнім шляхом.
18 Квітня 2024 15:49
Заново вчать ходити і говорити: як у Луцьку допомагають пацієнтам після інсультів
За три тижні роботи у новому реабілітаційному відділенні Луцької міської лікарні пройшли реабілітацію понад 30 пацієнтів із травмами після інсультів. У відділенні є кілька залів і кабінетів для вправ та занять. Реабілітація передбачає щоденне тригодинне заняття з реабілітологом, ерготерапевтом, психологом або терапевтом мови і мовлення.
17 Квітня 2024 19:57
На Волині за тиждень госпіталізували 91 людину із ГРВІ
За даними оперативної інформації на Волині зберігається тенденція до зниження захворюваності на ГРВІ та COVID-19. Протягом 15-го тижня 2024 року (з 8 по 14 квітня ) зареєстровано 4150 випадків ГРВІ, з них 20 – коронавірусної хвороби.
17 Квітня 2024 11:28
Цьогоріч уже понад 50 волинян звернулися до лікарів через укуси кліщів
На Волині існує активно діючий природній осередок кліщового вірусного енцефаліту у Ковельському районі, а саме в Ратнівській та Самарівській ТГ, де виявляється понад 80% всіх хворих по області.
16 Квітня 2024 10:22
Визначили групу крові з найбільш слабким імунітетом
На самому останньому місці опинилися представники другої групи крові, оскільки інтерферони виробляються у них тільки в 40% випадків. Це найгірший результат серед усіх відомих груп крові.
15 Квітня 2024 00:32
Французькі експерти спрогнозували найнебезпечніші хвороби у найближчі п'ять років
Найбільшу загрозу для здоров'я людини становлять зоонози, тобто інфекційні хвороби, що здатні передаватися від тварин до людини, і навпаки.
15 Квітня 2024 00:17
У трьох закладах Волині можна отримати безоплатну медичну допомогу при інфаркті
В Україні вона надається пацієнтам безоплатно: лікування медичним закладам з держбюджету оплачує Національна служба здоров’я України. Таким чином від початку року на Волині допомогу при гострому інфаркті міокарда отримали вже майже 250 людей.
12 Квітня 2024 21:38
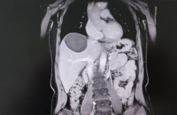
У луцькій лікарні 40-річній пацієнтці видалили шестикілограмову пухлину
За медичною допомогою звернулась 40-річна пацієнтка, яка помітила, що у неї збільшився живіт. Після обстежень виявили та видалили міому великих розмірів.
12 Квітня 2024 18:10
Кінець епідсезону на Волині: ГРВІ і грип відступають, Covid-19 не здається
Завершується епідеміологічний сезон грипу та ГРВІ. На Волині спостерігається щотижневе зниження рівня захворюваності на ці інфекційні хвороби. З початку епідсезону (з жовтня минулого року) перехворіло понад 156 тисяч волинян, що становить 15% населення області. Це на 32% більше аналогічного періоду сезону 2022-2023 років.
12 Квітня 2024 15:55
Кір, кашлюк, дифтерія і правець: на Волині більшає хворих на вакцинокеровані інфекції
Минулоріч від кору вдалося вакцинувати близько шести тисяч маленьких волинян, які не мали імунного захисту. У 2024 році в Україні зареєстровано лише 14 випадків кору, в тому числі один – у 4-річної дитини з Луцька.
12 Квітня 2024 15:04
Усунення слідів війни на шкірі: як отримати безкоштовну допомогу у Центрі естетичної медицини Оксани Короткої
Повномасштабне вторгнення залишає шрами в душі кожного українця. Однак особливо складно тим, хто постраждав не лише морально, а й фізично. Військовослужбовці і цивільні громадяни, які мають на тілі й обличчі рубці, отримані внаслідок воєнних дій, мають змогу позбутися їх раз і назавжди. Досвідчені лікарі, фахівці в галузі дерматології, косметології та естетичної медицини готові допомогти тим, хто потребує професійного лікування рубців.
12 Квітня 2024 14:47
Сьогодні 21:43
Сьогодні 21:05
Сьогодні 20:45
Сьогодні 20:26
Сьогодні 20:07
Сьогодні 19:28
