Ехінококова кіста печінки: у 50-річної волинянки видалили великого гельмінта
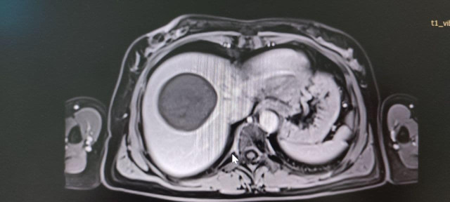
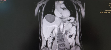
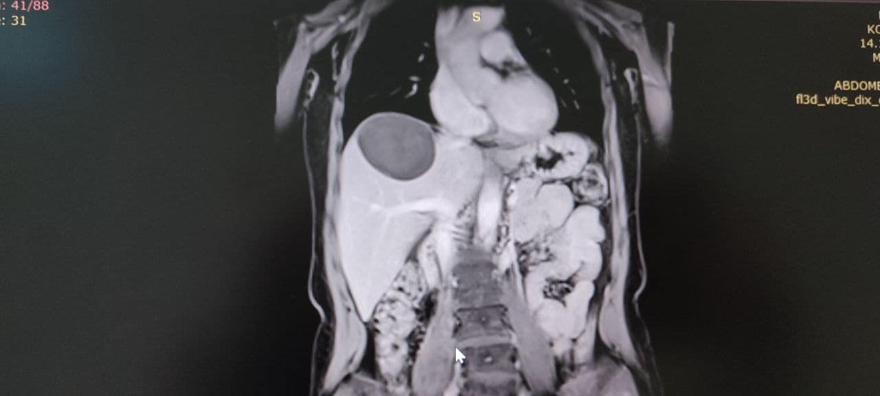
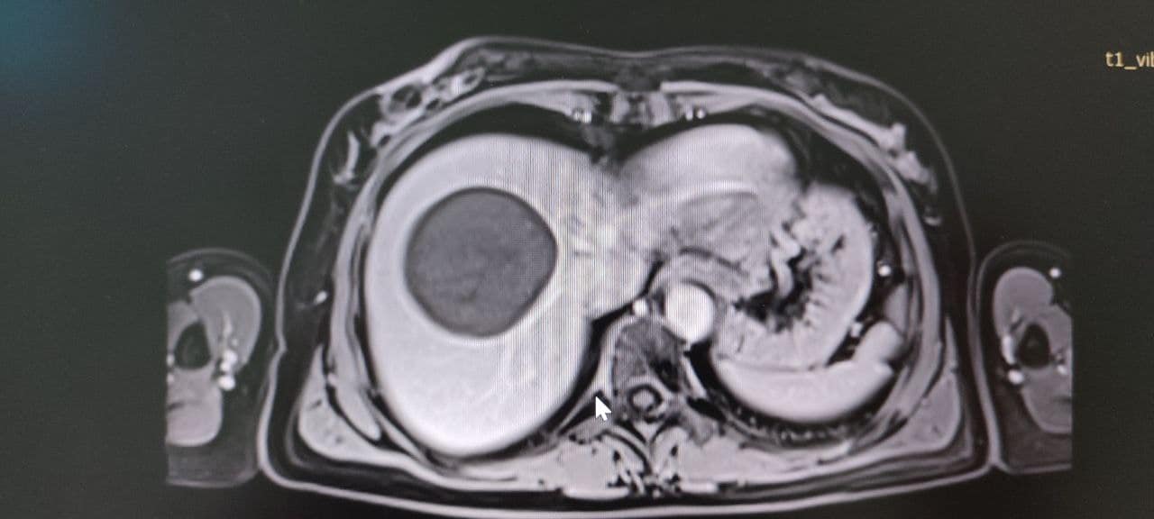
У Володимирське ТМО поступила 50-річна жінка зі скаргами на тиснення і біль у правому підребер’ї. У неї діагностували небезпечне і рідкісне захворювання – ехінококову кісту, яку хірургічно видалили.
Про це повідомила пресслужба Володимирського ТМО.
Ехінококоз – паразитарне захворювання, збудником якого є стрічкові черв’яки (Echinococcus). Паразит передається людині від заражених тварин, частіше переносниками ехінокока є собаки, а зараження – наслідок недотримання правил особистої гігієни.
Читати ще: У Нововолинську жінці видалили пухлину вагою до 4 кг
Паразитарна кіста в печінці нагадує навколоплідний міхур, всередині якого дозрівають личинки ехінокока. Новоутворення поступово зростає і часом досягає гігантських розмірів (до 50 см у діаметрі).Ехінококозом може захворіти будь-яка людина, імунітету проти цієї хвороби немає. Хвора людина для людей, що її оточують, небезпеки не становить.
Читати ще: У Луцьку пацієнтці онкоцентру видалили пів метрову пухлину вагою 30 кілограмів. Фото 18+
Особиста профілактика ехінококозу – обмеження контакту з собаками, ретельне миття рук перед прийманням їжі, невживання в їжу немитих фруктів та ягід.
Пам’ятайте, уникнути ехінококозу значно легше, ніж діагностувати та лікувати! Бережіть себе та своїх близьких!
Підписуйтесь на наш Telegram-канал, аби першими дізнаватись найактуальніші новини Волині, України та світу
Про це повідомила пресслужба Володимирського ТМО.
Ехінококоз – паразитарне захворювання, збудником якого є стрічкові черв’яки (Echinococcus). Паразит передається людині від заражених тварин, частіше переносниками ехінокока є собаки, а зараження – наслідок недотримання правил особистої гігієни.
Читати ще: У Нововолинську жінці видалили пухлину вагою до 4 кг
Паразитарна кіста в печінці нагадує навколоплідний міхур, всередині якого дозрівають личинки ехінокока. Новоутворення поступово зростає і часом досягає гігантських розмірів (до 50 см у діаметрі).Ехінококозом може захворіти будь-яка людина, імунітету проти цієї хвороби немає. Хвора людина для людей, що її оточують, небезпеки не становить.
Читати ще: У Луцьку пацієнтці онкоцентру видалили пів метрову пухлину вагою 30 кілограмів. Фото 18+
Особиста профілактика ехінококозу – обмеження контакту з собаками, ретельне миття рук перед прийманням їжі, невживання в їжу немитих фруктів та ягід.
Пам’ятайте, уникнути ехінококозу значно легше, ніж діагностувати та лікувати! Бережіть себе та своїх близьких!
Знайшли помилку? Виділіть текст і натисніть
Підписуйтесь на наш Telegram-канал, аби першими дізнаватись найактуальніші новини Волині, України та світу
Коментарів: 0
У Саудівській Аравії знайшли 120-тисячолітні сліди людей
Сьогодні 00:32
Сьогодні 00:32
30 квітня: свята, події, факти. Міжнародний день джазу та День прикордонника в Україні
Сьогодні 00:00
Сьогодні 00:00
Присвячена зубру: Нацбанк представив нову пам’ятну монету
29 Квітня 2026 23:38
29 Квітня 2026 23:38
В Україні заарештовані торговельні марки HBO: серіал «Чорнобиль» використав ім’я та історію учасниці подій
29 Квітня 2026 23:18
29 Квітня 2026 23:18
Запуск складаного iPhone за $2000 стане першим великим кроком нового CEO Apple, – Bloomberg
29 Квітня 2026 23:00
29 Квітня 2026 23:00
Смерть в Африці замість «солодкого» життя в РФ: помер блогер-зрадник, який просив гроші на переїзд до Москви
29 Квітня 2026 22:40
29 Квітня 2026 22:40
Прокладав ворогу маршрути для повітряних атак по Києву та Чернігівщині: у лавах Держприкордонслужби викрили крота ГРУ
29 Квітня 2026 22:22
29 Квітня 2026 22:22
Із замовників будівництва ЖК поблизу Луцька у місцевий бюджет стягнули 3,3 млн грн
29 Квітня 2026 22:02
29 Квітня 2026 22:02



Додати коментар:
УВАГА! Користувач www.volynnews.com має розуміти, що коментування на сайті створені аж ніяк не для політичного піару чи антипіару, зведення особистих рахунків, комерційної реклами, образ, безпідставних звинувачень та інших некоректних і негідних речей. Утім коментарі – це не редакційні матеріали, не мають попередньої модерації, суб’єктивні повідомлення і можуть містити недостовірну інформацію.