Гірше, ніж у курця: показали вплив коронавірусу на легені людини. Фото
Легені людини після COVID-19 виглядають набагато гірше, ніж органи завзятого курця з серйозними рубцями і ушкодженнями.
Про це розповіла хірург-травматолог з Техасу (США) Бріттані Бенкхед-Кендалл, яка показала три рентгенівські знімки легень: здорову людину, курця і пацієнта з коронавірусом, пише Обозреватель.
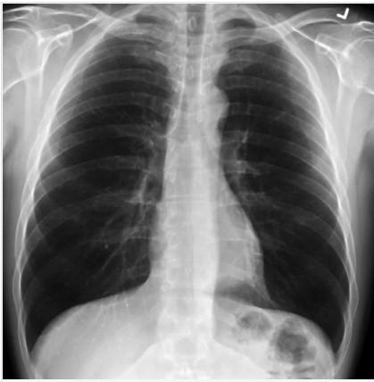
Медик зазначила, що легені пацієнтів після COVID-19, виглядають набагато гірше, ніж навіть у курців. На рентгенівському знімку здорового пацієнта було багато чорного простору, яке демонструвало, що людина могла вдихати нормальну кількість кисню.Легені здорової людини
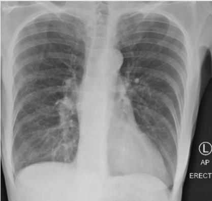
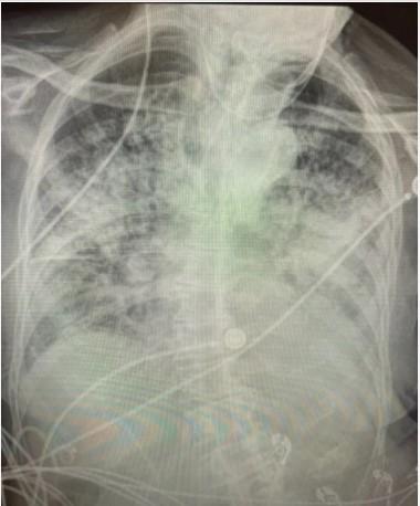
Рентгенівський знімок курця був нечітким, в той час, як рентгенівський знімок пацієнта з COVID виглядав майже повністю білим. Помутніння легенів зазвичай вказує на те, що вони наповнені такими речовинами, як рідина або бактерії, а також щільними рубцями і ушкодженнями, пояснила лікар.
«Легені після коронавірусу виглядають гірше, ніж легені найжахливішого курця, які ми коли-небудь бачили», – підкреслила вона.Легені курця
Лікар додала, що коронавірус часто призводить до таких ускладнень, як пневмонія, яка виникає, коли в легені надходить рідина і вони запалюються. Оскільки повітряні мішечки наповнюються речовиною, вони не можуть приймати достатньо кисню, що призводить до таких симптомів, як кашель і задишка.
«Все ще є люди, які кажуть: «Я в порядку, у мене немає проблем», але коли вони роблять рентген грудної клітини, видно, що він абсолютно поганий», – підсумувала вона.Легені пацієнта після COVID-19
Підписуйтесь на наш Telegram-канал, аби першими дізнаватись найактуальніші новини Волині, України та світу
Про це розповіла хірург-травматолог з Техасу (США) Бріттані Бенкхед-Кендалл, яка показала три рентгенівські знімки легень: здорову людину, курця і пацієнта з коронавірусом, пише Обозреватель.
Медик зазначила, що легені пацієнтів після COVID-19, виглядають набагато гірше, ніж навіть у курців. На рентгенівському знімку здорового пацієнта було багато чорного простору, яке демонструвало, що людина могла вдихати нормальну кількість кисню.Легені здорової людини
Рентгенівський знімок курця був нечітким, в той час, як рентгенівський знімок пацієнта з COVID виглядав майже повністю білим. Помутніння легенів зазвичай вказує на те, що вони наповнені такими речовинами, як рідина або бактерії, а також щільними рубцями і ушкодженнями, пояснила лікар.
«Легені після коронавірусу виглядають гірше, ніж легені найжахливішого курця, які ми коли-небудь бачили», – підкреслила вона.Легені курця
Лікар додала, що коронавірус часто призводить до таких ускладнень, як пневмонія, яка виникає, коли в легені надходить рідина і вони запалюються. Оскільки повітряні мішечки наповнюються речовиною, вони не можуть приймати достатньо кисню, що призводить до таких симптомів, як кашель і задишка.
«Все ще є люди, які кажуть: «Я в порядку, у мене немає проблем», але коли вони роблять рентген грудної клітини, видно, що він абсолютно поганий», – підсумувала вона.Легені пацієнта після COVID-19
Знайшли помилку? Виділіть текст і натисніть
Підписуйтесь на наш Telegram-канал, аби першими дізнаватись найактуальніші новини Волині, України та світу
Коментарів: 0
У Луцькому районі зіткнулися і злетіли в кювет Chevrolet та Renault: двох людей доправили у лікарню 
Сьогодні 12:57
Сьогодні 12:57
Сили оборони уразили пункт управління військовими кораблями Чорноморського флоту РФ у Севастополі
Сьогодні 12:40
Сьогодні 12:40
Під мерехтіння свічок: струнний квартет зіграв у Луцьку музику Imagine Dragons і Coldplay. Фото
Сьогодні 12:24
Сьогодні 12:24
Сергій Ребров припинив роботу в збірній України
Сьогодні 12:07
Сьогодні 12:07
Російська ППО рознесла під'їзд будинку в Сизрані, під завалами шукають людей, – медіа
Сьогодні 11:50
Сьогодні 11:50
Майже два роки вважали зниклим безвісти: підтвердили загибель лучанина Святослава Юзефчука
Сьогодні 11:33
Сьогодні 11:33




Додати коментар:
УВАГА! Користувач www.volynnews.com має розуміти, що коментування на сайті створені аж ніяк не для політичного піару чи антипіару, зведення особистих рахунків, комерційної реклами, образ, безпідставних звинувачень та інших некоректних і негідних речей. Утім коментарі – це не редакційні матеріали, не мають попередньої модерації, суб’єктивні повідомлення і можуть містити недостовірну інформацію.