Лікування успішне: онкохвора волинянка про результати обстеження
Онкохвора волинянка із міста Нововолинськ Тетяна Куценко повідомила про результати обстеження.
За її словами, лікування – успішне, розповіла жінка на своїй сторінці у Фейсбуці.
Нагадаємо, Тетяна Куценко з Нововолинська в 2013 році лікувала 3-тю стадію раку грудей, пройшла повністю все лікування: 7 хімій, 2 операції і 20 променевих терапій. Але у липні 2018 лікарі виявили метастази в легені та печінку.
Тепер жінка лікується препаратом «Ібранс», і він дає хороший результат. За її словами, під час останнього КТ зафіксували зменшення пухлини у печінці.
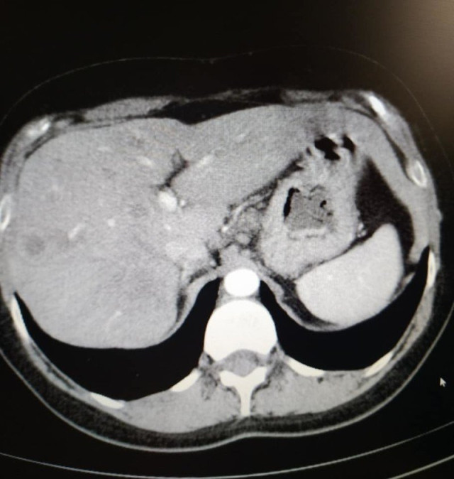
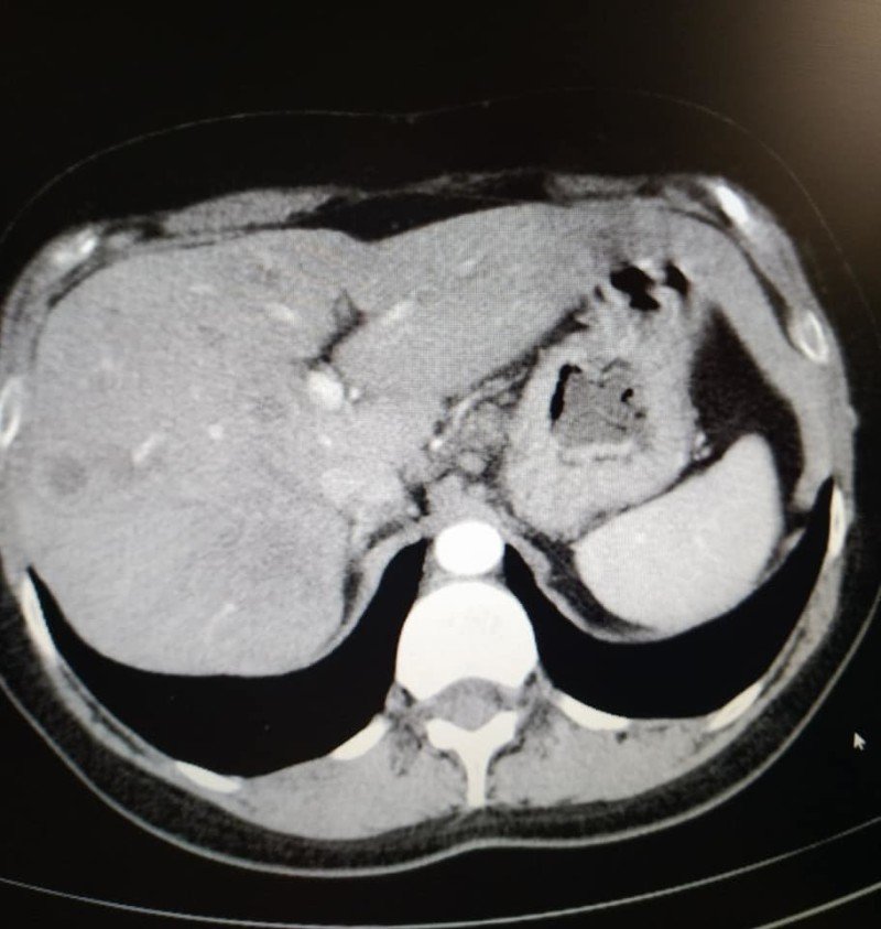
«У мене метастази, 4 стадія, але постійна від початку лікування позитивна динаміка. З 5 пухлин різних за розмірами в печінці, залишилася одна 12 на 10 мм, яка була на початку 50 мм. На першому фото печінки видно плями темні -це вони, метастази, а на другому фото теперішній стан. Це дуже успішне лікування. Ще трішки і я надіюсь і ця пухлина теж зникне», – розповіла вона.Фото печінки до лікуванняФото печінки після лікування
Наступних три місяці жінка планує і далі приймати препарат. Втім він дуже дорогий, тож самотужки сім’я купувати його не може.
«Ібранс коштує 43000 в місяць.Проведені ним клінічні дослідження в Україні PALOMA 1- 3 дають мені ВІРУ на майбутнє з моєю родиною. Нарешті всі мої болі відступили.Препарат діє.Історія моєї боротьби в мене на сторінці.Я змучена після хімій,набрала 15 кг,поганий став зір,прийшлося позбутися декілька зубів через проблеми з яснами після хімій,але тепер почавши 5 курс Ібрансу ,я готова перемогти,зцілитися і Бог мені допоможе», – каже жінка.
Підтримати Тетяну Куценко можна, переказавши кошти на рахунки:
4149 4991 1968 3579
5168 7573 3034 6836
Куценко Тетяна Валеріївна
Підписуйтесь на наш Telegram-канал, аби першими дізнаватись найактуальніші новини Волині, України та світу
За її словами, лікування – успішне, розповіла жінка на своїй сторінці у Фейсбуці.
Нагадаємо, Тетяна Куценко з Нововолинська в 2013 році лікувала 3-тю стадію раку грудей, пройшла повністю все лікування: 7 хімій, 2 операції і 20 променевих терапій. Але у липні 2018 лікарі виявили метастази в легені та печінку.
Тепер жінка лікується препаратом «Ібранс», і він дає хороший результат. За її словами, під час останнього КТ зафіксували зменшення пухлини у печінці.
«У мене метастази, 4 стадія, але постійна від початку лікування позитивна динаміка. З 5 пухлин різних за розмірами в печінці, залишилася одна 12 на 10 мм, яка була на початку 50 мм. На першому фото печінки видно плями темні -це вони, метастази, а на другому фото теперішній стан. Це дуже успішне лікування. Ще трішки і я надіюсь і ця пухлина теж зникне», – розповіла вона.Фото печінки до лікуванняФото печінки після лікування
Наступних три місяці жінка планує і далі приймати препарат. Втім він дуже дорогий, тож самотужки сім’я купувати його не може.
«Ібранс коштує 43000 в місяць.Проведені ним клінічні дослідження в Україні PALOMA 1- 3 дають мені ВІРУ на майбутнє з моєю родиною. Нарешті всі мої болі відступили.Препарат діє.Історія моєї боротьби в мене на сторінці.Я змучена після хімій,набрала 15 кг,поганий став зір,прийшлося позбутися декілька зубів через проблеми з яснами після хімій,але тепер почавши 5 курс Ібрансу ,я готова перемогти,зцілитися і Бог мені допоможе», – каже жінка.
Підтримати Тетяну Куценко можна, переказавши кошти на рахунки:
4149 4991 1968 3579
5168 7573 3034 6836
Куценко Тетяна Валеріївна
Знайшли помилку? Виділіть текст і натисніть
Підписуйтесь на наш Telegram-канал, аби першими дізнаватись найактуальніші новини Волині, України та світу
Коментарів: 2
Однозначно!
Показати IP
3 Березня 2019 19:33
Не розслабляйся ,дівчино ,бо це підступна хвороба , хай Бог допомагає!
Анонім
Показати IP
29 Червня 2022 19:48
Доброго дня, а можна номер телефону Тетяни? У моєї мами подібна ситуація, хотіла б поспілкуватися, дякую.
12 травня: свята, події, факти. День екологічної освіти та Міжнародний день здоров’я рослин
Сьогодні 00:00
Сьогодні 00:00
У Японії відкрили лабораторію, де медичні експерименти проводять роботи
11 Травня 2026 23:42
11 Травня 2026 23:42
Більшість українців не бояться ШІ: 69% не вірять, що він забере їхню роботу
11 Травня 2026 23:24
11 Травня 2026 23:24
На Волині цьогоріч майже 2,7 тисячі осіб вперше отримали картку платника податків
11 Травня 2026 23:05
11 Травня 2026 23:05
Нова голова МЗС Угорщини обіцяє, що країна більше не шантажуватиме ЄС своїм вето
11 Травня 2026 22:46
11 Травня 2026 22:46
У волинській громаді сім жінок отримали почесне звання «Мати-героїня»
11 Травня 2026 22:27
11 Травня 2026 22:27
Судитимуть лучанина, який продавав автівки, привезені для ЗСУ
11 Травня 2026 22:08
11 Травня 2026 22:08
НАБУ і САП оголосили про підозру екскерівнику ОП Єрмаку
11 Травня 2026 21:48
11 Травня 2026 21:48
Викрили масштабну схему дезертирства, яка діяла на Волині та ще у трьох областях
11 Травня 2026 21:30
11 Травня 2026 21:30





Додати коментар:
УВАГА! Користувач www.volynnews.com має розуміти, що коментування на сайті створені аж ніяк не для політичного піару чи антипіару, зведення особистих рахунків, комерційної реклами, образ, безпідставних звинувачень та інших некоректних і негідних речей. Утім коментарі – це не редакційні матеріали, не мають попередньої модерації, суб’єктивні повідомлення і можуть містити недостовірну інформацію.