На Волині в лікарні від пневмонії помер чоловік
У Любомльській районній лікарні 74-річний чоловік помер від пневмонії. Результати експрес-тесту та наліз на ПЛР виявилися негативними.
Про це повідомляє Волиньpost з посиланням на КНП «Любомльське ТМО Любомльської районної ради» у фейсбуці.
Загалом у Любомльській лікарні протестували 70 людей експрес-тестами для виявлення COVID-19.
З них 20 осіб були з підозрою на СОVID-19, 50 осіб прикордонників, які контактували з людьми, котрі повертались із-за кордону.
Станом на 7 квітня у Любомлському ТМО з підозрою на СОVID-19 знаходиться 4 хворих, в яких експрес -тести негативні.
Наразі їх аналізи відправили в Луцьк в лабораторний центр для уточнення діагнозу.
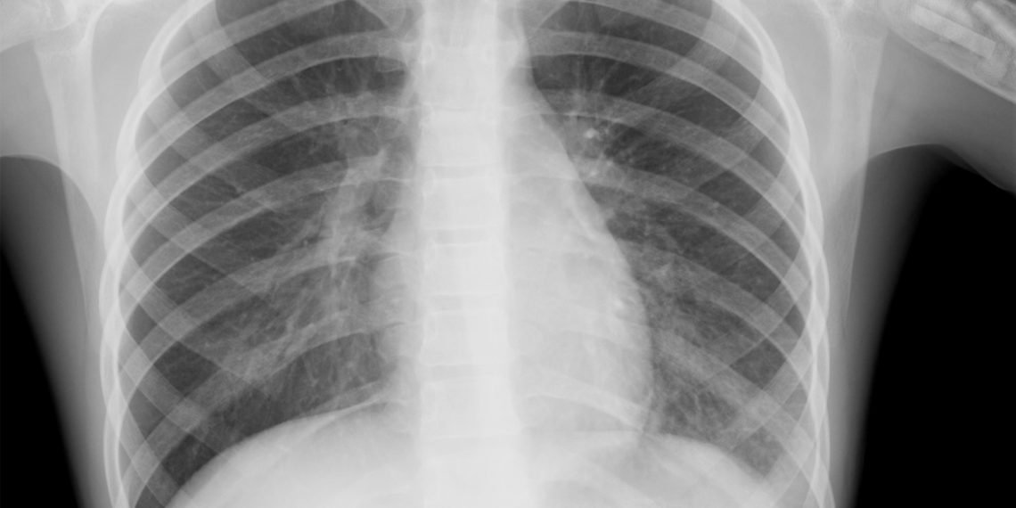
Зазначається, що 5 квітня в стаціонарні відділення лікарні поступив 74-річний чоловік з діагнозом двобічна позагоспітальна пневмонія. Хворого одразу госпіталізували у реанімаційне відділення. На жаль, врятувати його не вдалося: чоловік помер увечері того ж дня.
Дослідження на експрес-тест, який провели в Любомлі, та аналіз на полімеразно-ланцюгову реакцію ( ПЛР-дослідження), яку провели у Луцьку в обласному лабораторному центрі того ж дня, виявився негативним.
Підписуйтесь на наш Telegram-канал, аби першими дізнаватись найактуальніші новини Волині, України та світу
Про це повідомляє Волиньpost з посиланням на КНП «Любомльське ТМО Любомльської районної ради» у фейсбуці.
Загалом у Любомльській лікарні протестували 70 людей експрес-тестами для виявлення COVID-19.
З них 20 осіб були з підозрою на СОVID-19, 50 осіб прикордонників, які контактували з людьми, котрі повертались із-за кордону.
Станом на 7 квітня у Любомлському ТМО з підозрою на СОVID-19 знаходиться 4 хворих, в яких експрес -тести негативні.
Наразі їх аналізи відправили в Луцьк в лабораторний центр для уточнення діагнозу.
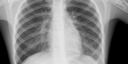
Зазначається, що 5 квітня в стаціонарні відділення лікарні поступив 74-річний чоловік з діагнозом двобічна позагоспітальна пневмонія. Хворого одразу госпіталізували у реанімаційне відділення. На жаль, врятувати його не вдалося: чоловік помер увечері того ж дня.
Дослідження на експрес-тест, який провели в Любомлі, та аналіз на полімеразно-ланцюгову реакцію ( ПЛР-дослідження), яку провели у Луцьку в обласному лабораторному центрі того ж дня, виявився негативним.
Знайшли помилку? Виділіть текст і натисніть
Підписуйтесь на наш Telegram-канал, аби першими дізнаватись найактуальніші новини Волині, України та світу
Коментарів: 3
Отож
Показати IP
8 Квітня 2020 10:19
А тепер ще одна річ якою ніхто не цікавиться - за яких умов люди масово підхоплюють двосторонню пневмонію. Можливо знаючи як, можна було б запобігти цьому, чи це не так важливо, а важливо всіх лякати шариком з вусиками?
я
Показати IP
8 Квітня 2020 13:22
якщо сидіти вдома і не лікувати правильно пневмонію (запалення легень), то легені "згорають" і без коронавірусу....так було і так буде...
111
Показати IP
8 Квітня 2020 13:43
Чому не приписали короно вірус
Заняття мистецтвом і культурою сповільнюють старіння
Сьогодні 00:32
Сьогодні 00:32
17 травня: свята, події, факти. День пульмонолога та День пам’яті жертв політичних репресій
Сьогодні 00:00
Сьогодні 00:00
У ДР Конго кількість померлих від Еболи зросла до 80
16 Травня 2026 23:31
16 Травня 2026 23:31
США та Нігерія ліквідували одного з лідерів ІДІЛ
16 Травня 2026 23:02
16 Травня 2026 23:02
Алкоголю в 11 разів вище норми: у Луцьку водія судили за п’яну аварію на Карпенка-Карого
16 Травня 2026 22:33
16 Травня 2026 22:33
Місто на Волині продає дві земельні ділянки під бізнес
16 Травня 2026 22:05
16 Травня 2026 22:05
Шпигував для росіян у Польщі: луцький суд на вісім років ув’язнив чоловіка
16 Травня 2026 21:36
16 Травня 2026 21:36
У Палаці культури та зоопарку в Луцьку відремонтують санвузли
16 Травня 2026 21:08
16 Травня 2026 21:08
У волинському селі за 80 тисяч продають комунальну ділянку
16 Травня 2026 20:40
16 Травня 2026 20:40
Волинський нацгвардієць став призером Чемпіонату Європи з карате
16 Травня 2026 20:12
16 Травня 2026 20:12

Додати коментар:
УВАГА! Користувач www.volynnews.com має розуміти, що коментування на сайті створені аж ніяк не для політичного піару чи антипіару, зведення особистих рахунків, комерційної реклами, образ, безпідставних звинувачень та інших некоректних і негідних речей. Утім коментарі – це не редакційні матеріали, не мають попередньої модерації, суб’єктивні повідомлення і можуть містити недостовірну інформацію.