«Найстрашніші, які я коли-небудь бачила»: показали легені тяжкохворого пацієнта з COVID-19
У Львові медики показали, який вигляд мають легені, уражені коронавірусом. Органи на світлині перетворилися на суцільну світлу пляму.
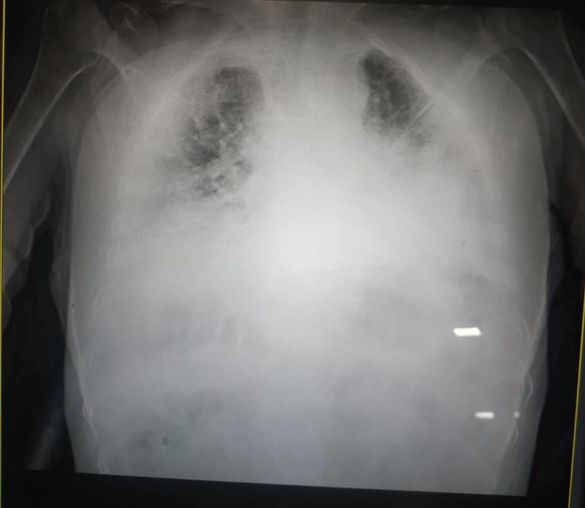
Фото уражених коронавірусом легенів виклала у соцмережі Ірина Заславець, повідомляє ТСН.
«Це одні з найстрашніших легенів, які я бачила в житті», – сказала мені щойно очільниця реанімації клінічної лікарні швидкої медичної допомоги Львова», – написала Ірина.
Вона додала, що з Винників до медзкладу привезли 18 пацієнтів із коронавірусом. 7 із них – у реанімації. Усі у критичному стані.Користувачі у соцмережі вжахнулися побаченим і побажали пацієнтові одужання.
Нагадаємо, що патологоанатом розповів, як коронавірус змінює легені. Лікар говорить, що вони більше нагадують печінку.
Підписуйтесь на наш Telegram-канал, аби першими дізнаватись найактуальніші новини Волині, України та світу
Фото уражених коронавірусом легенів виклала у соцмережі Ірина Заславець, повідомляє ТСН.
«Це одні з найстрашніших легенів, які я бачила в житті», – сказала мені щойно очільниця реанімації клінічної лікарні швидкої медичної допомоги Львова», – написала Ірина.
Вона додала, що з Винників до медзкладу привезли 18 пацієнтів із коронавірусом. 7 із них – у реанімації. Усі у критичному стані.Користувачі у соцмережі вжахнулися побаченим і побажали пацієнтові одужання.
Нагадаємо, що патологоанатом розповів, як коронавірус змінює легені. Лікар говорить, що вони більше нагадують печінку.
Знайшли помилку? Виділіть текст і натисніть
Підписуйтесь на наш Telegram-канал, аби першими дізнаватись найактуальніші новини Волині, України та світу
Коментарів: 0
Вони досі живуть, як 60 тисяч років тому: який вигляд мають ізольовані племена Амазонії
Сьогодні 00:15
Сьогодні 00:15
У США дозволили випробувати на людях імплантат проти депресії
5 Травня 2026 23:42
5 Травня 2026 23:42
На Закарпатті вирує масштабна лісова пожежа поблизу Воловця
5 Травня 2026 23:23
5 Травня 2026 23:23
В Україні створять єдиний центр із рекрутингу іноземців при Міноборони
5 Травня 2026 23:05
5 Травня 2026 23:05
WP: Чиновників адміністрації Трампа готують до поразки республіканців на виборах до Конгресу США
5 Травня 2026 22:46
5 Травня 2026 22:46
Сезон активності кліщів: до медиків звернулися вже понад 100 волинян
5 Травня 2026 22:28
5 Травня 2026 22:28
Руслана і Вєрка Сердючка виступатимуть у фіналі «Євробачення» у Відні
5 Травня 2026 22:10
5 Травня 2026 22:10
Унаслідок ворожої атаки на Дніпро загинули троє людей
5 Травня 2026 21:52
5 Травня 2026 21:52
На Львівщині виявили підземний тунель часів Австро-Угорщини
5 Травня 2026 21:34
5 Травня 2026 21:34



Додати коментар:
УВАГА! Користувач www.volynnews.com має розуміти, що коментування на сайті створені аж ніяк не для політичного піару чи антипіару, зведення особистих рахунків, комерційної реклами, образ, безпідставних звинувачень та інших некоректних і негідних речей. Утім коментарі – це не редакційні матеріали, не мають попередньої модерації, суб’єктивні повідомлення і можуть містити недостовірну інформацію.