Через день на Волині від туберкульозу помирає людина
Щодня на Волині виявляють у середньому двох хворих на туберкульоз, через день в області людина помирає від цієї хвороби.
Такі дані оприлюднив головний позаштатний спеціаліст з фтизіатрії управління охорони здоров’я ОДА Юрій Валецький під час прес-конференції, повідомляє Волинська служба новин.
«На щастя, діти помирають рідко. В минулому році не померла жодна дитина. В позаминулому – був випадок», – зазначив Валецький.
Медик наголосив: епідемія туберкульозу триває. І підстав вважати, що ця хвороба може бути взята під контроль найбільшим часом, немає.
Основними симптоми хвороби є кашель більше 2 тижнів, втомлюваність, погіршення апетиту, підвищення температури до 37,2 градуса, особливо у вечірній час.
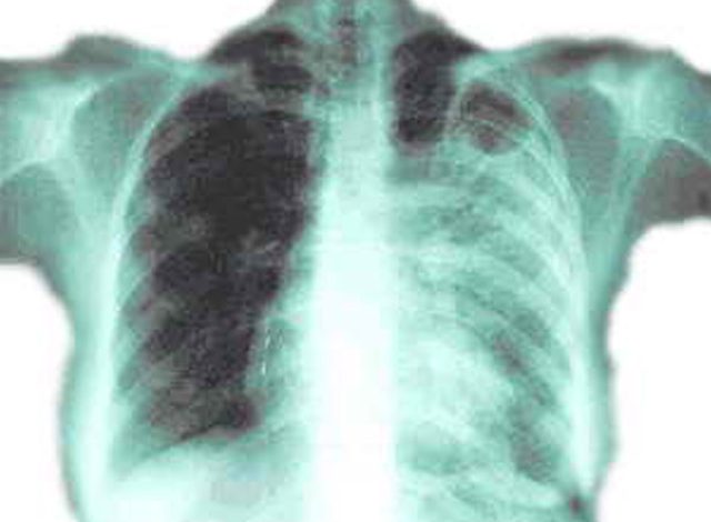
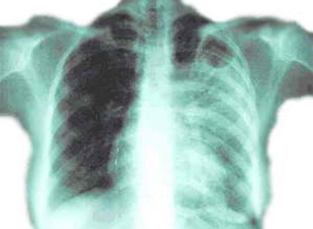
Валецький зазначає: особливістю туберкульозу є те, що він локалізується не лише в легенях, як усі звикли думати, а може уражати всі без винятку органи.
Так, поза легенями туберкульоз на Волині в минулому році діагностували у 93 випадках. Це – туберкульоз хребта, кишківника, ока, оболонок мозку, нирок та жіночих статевих органів.
На щастя, ця хвороба не є поширеною серед дітей. В області минулого року діагностували 23 випадки. Причини – діти хворіли у сім’ях, де носіями туберкульозу були дорослі, а також діти ромської національності.
Варто додати, що минулого року в області на туберкульоз захворіли 18 медичних працівників. З них – 6 лікарів.
Надзвичайно важливою, як наголошує Валецький, є рання діагностика, однак підступність цієї хвороби в тому, що людина кілька місяців взагалі може не знати, що вона вже хвора, і при цьому добре почуватися.
Саме тому лікарі вкотре звертаються до людей з проханням не бути байдужими до свого здоров’я, вчасно звертатися по медичну допомогу та пам’ятати: навіть якщо людина в захворіла на туберкульоз – це ще не вирок.Довідка:
Туберкульоз – це інфекційне захворювання, спричинене мікобактерією туберкульозу, що передається повітряно-крапельним шляхом. Основним джерелом інфекції є хворі на туберкульоз, що виділяють збудника в навколишнє середовище разом з мокротинням під час кашлю, чхання, в розмові. При цьому збудник інфекції має здатність розповсюджуватися в радіусі 2-6 метрів.
Найчастіше туберкульоз розвивається у людей з ослабленою імунною системою.
На жаль, рівень поширення туберкульозу в Україні характеризується високим ризиком інфікування населення, більшість з якого навіть не підозрює небезпеку зараження, контактуючи з хворими у транспорті, магазинах, місцях масового перебування людей тощо.
Підписуйтесь на наш Telegram-канал, аби першими дізнаватись найактуальніші новини Волині, України та світу
Такі дані оприлюднив головний позаштатний спеціаліст з фтизіатрії управління охорони здоров’я ОДА Юрій Валецький під час прес-конференції, повідомляє Волинська служба новин.
«На щастя, діти помирають рідко. В минулому році не померла жодна дитина. В позаминулому – був випадок», – зазначив Валецький.
Медик наголосив: епідемія туберкульозу триває. І підстав вважати, що ця хвороба може бути взята під контроль найбільшим часом, немає.
Основними симптоми хвороби є кашель більше 2 тижнів, втомлюваність, погіршення апетиту, підвищення температури до 37,2 градуса, особливо у вечірній час.
Валецький зазначає: особливістю туберкульозу є те, що він локалізується не лише в легенях, як усі звикли думати, а може уражати всі без винятку органи.
Так, поза легенями туберкульоз на Волині в минулому році діагностували у 93 випадках. Це – туберкульоз хребта, кишківника, ока, оболонок мозку, нирок та жіночих статевих органів.
На щастя, ця хвороба не є поширеною серед дітей. В області минулого року діагностували 23 випадки. Причини – діти хворіли у сім’ях, де носіями туберкульозу були дорослі, а також діти ромської національності.
Варто додати, що минулого року в області на туберкульоз захворіли 18 медичних працівників. З них – 6 лікарів.
Надзвичайно важливою, як наголошує Валецький, є рання діагностика, однак підступність цієї хвороби в тому, що людина кілька місяців взагалі може не знати, що вона вже хвора, і при цьому добре почуватися.
Саме тому лікарі вкотре звертаються до людей з проханням не бути байдужими до свого здоров’я, вчасно звертатися по медичну допомогу та пам’ятати: навіть якщо людина в захворіла на туберкульоз – це ще не вирок.Довідка:
Туберкульоз – це інфекційне захворювання, спричинене мікобактерією туберкульозу, що передається повітряно-крапельним шляхом. Основним джерелом інфекції є хворі на туберкульоз, що виділяють збудника в навколишнє середовище разом з мокротинням під час кашлю, чхання, в розмові. При цьому збудник інфекції має здатність розповсюджуватися в радіусі 2-6 метрів.
Найчастіше туберкульоз розвивається у людей з ослабленою імунною системою.
На жаль, рівень поширення туберкульозу в Україні характеризується високим ризиком інфікування населення, більшість з якого навіть не підозрює небезпеку зараження, контактуючи з хворими у транспорті, магазинах, місцях масового перебування людей тощо.
Знайшли помилку? Виділіть текст і натисніть
Підписуйтесь на наш Telegram-канал, аби першими дізнаватись найактуальніші новини Волині, України та світу
Коментарів: 0
На Волині провели в останню дорогу Героя Юрія Шевчука
Сьогодні 15:25
Сьогодні 15:25
Місце у луцькому парку, де гніздяться лебеді, обгородили та встановили поблизу камеру
Сьогодні 13:58
Сьогодні 13:58
Підпалив департамент, щоб не вбили батьків? Як працівника Луцької міськради завербували російські спецслужби
Сьогодні 13:01
Сьогодні 13:01
Луцький ліцей №21 імені Михайла Кравчука відзначив 40-річчя
Сьогодні 12:03
Сьогодні 12:03
В Україну повернули тіла понад 500 українських захисників
Сьогодні 11:34
Сьогодні 11:34


Додати коментар:
УВАГА! Користувач www.volynnews.com має розуміти, що коментування на сайті створені аж ніяк не для політичного піару чи антипіару, зведення особистих рахунків, комерційної реклами, образ, безпідставних звинувачень та інших некоректних і негідних речей. Утім коментарі – це не редакційні матеріали, не мають попередньої модерації, суб’єктивні повідомлення і можуть містити недостовірну інформацію.