Коронавірус змінює обсяг сірої речовини в мозку. Дослідження
Учені зі США встановили, що у хворих на COVID-19 скорочується обсяг сірої речовини у фронтально-скроневій нейронній зоні мозку. Це і є причиною певної недієздатності пацієнтів навіть після одужання.
Про це інформує 24 канал з посиланням на EurekAlert.
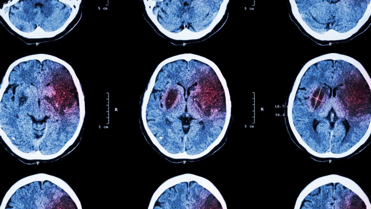
Вчені вважають, що, вимірюючи об'єм сірої речовини по знімках КТ, можна прогнозувати перебіг захворювання і призначати терапію.
Сіра речовина мозку відіграє важливу роль в обробці інформації, функції та комунікації нейронів. Основний удар по сірій речовині внаслідок коронавірусу припадає саме на фронтальну зону.
Нацковці проаналізували результати комп'ютерної томографії 120 пацієнтів з неврологічними проблемами, 58 з яких перехворіли на коронавірус у важкій формі. І застосували морфометричний аналіз, що дозволяє використовувати статистичні методи для вивчення вибірки помірних розмірів.
Аналіз показав, що у пацієнтів з високим рівнем недієздатності знижений об'єм сірої речовини в верхніх, медіальних і середніх лобових звивинах до моменту виписки і через 6 місяців. Також обсяг сірої речовини в цих ділянках виявився значно менше у хворих, які пройшли кисневу терапію.
Водночас зменшення обсягів сірої речовини виявили у верхніх, медіальних і середніх лобових звивинах у пацієнтів з підвищеною ажитацією (моторне занепокоєння, потреба в русі, - ред.). Ймовірно, ці зміни в мозку можуть лежати в основі афективних розладів, які часто виникають у пацієнтів з COVID-19.
Підписуйтесь на наш Telegram-канал, аби першими дізнаватись найактуальніші новини Волині, України та світу
Про це інформує 24 канал з посиланням на EurekAlert.
Вчені вважають, що, вимірюючи об'єм сірої речовини по знімках КТ, можна прогнозувати перебіг захворювання і призначати терапію.
Сіра речовина мозку відіграє важливу роль в обробці інформації, функції та комунікації нейронів. Основний удар по сірій речовині внаслідок коронавірусу припадає саме на фронтальну зону.
Нацковці проаналізували результати комп'ютерної томографії 120 пацієнтів з неврологічними проблемами, 58 з яких перехворіли на коронавірус у важкій формі. І застосували морфометричний аналіз, що дозволяє використовувати статистичні методи для вивчення вибірки помірних розмірів.
Аналіз показав, що у пацієнтів з високим рівнем недієздатності знижений об'єм сірої речовини в верхніх, медіальних і середніх лобових звивинах до моменту виписки і через 6 місяців. Також обсяг сірої речовини в цих ділянках виявився значно менше у хворих, які пройшли кисневу терапію.
Водночас зменшення обсягів сірої речовини виявили у верхніх, медіальних і середніх лобових звивинах у пацієнтів з підвищеною ажитацією (моторне занепокоєння, потреба в русі, - ред.). Ймовірно, ці зміни в мозку можуть лежати в основі афективних розладів, які часто виникають у пацієнтів з COVID-19.
Знайшли помилку? Виділіть текст і натисніть
Підписуйтесь на наш Telegram-канал, аби першими дізнаватись найактуальніші новини Волині, України та світу
Коментарів: 1
Висновок
Показати IP
13 Травня 2021 09:14
В Україні коронавірус з 2004 року на майдані з'явився. Друга хвиля в 2013 році.
Помер засновник CNN і медіамагнат, який змінив телебачення
Сьогодні 19:15
Сьогодні 19:15
Угорщина повернула конфісковані гроші Ощадбанку
Сьогодні 18:37
Сьогодні 18:37
Пояснили, чому в Луцьку може курсувати менше тролейбусів
Сьогодні 17:57
Сьогодні 17:57
15 місяців вважали зниклим безвісти: до Ковеля на щиті повертається Герой Анатолій Смаль
Сьогодні 17:23
Сьогодні 17:23
У Луцьку учні 8-9 класів змагалися за першість з кросу. Фото
Сьогодні 16:17
Сьогодні 16:17

Додати коментар:
УВАГА! Користувач www.volynnews.com має розуміти, що коментування на сайті створені аж ніяк не для політичного піару чи антипіару, зведення особистих рахунків, комерційної реклами, образ, безпідставних звинувачень та інших некоректних і негідних речей. Утім коментарі – це не редакційні матеріали, не мають попередньої модерації, суб’єктивні повідомлення і можуть містити недостовірну інформацію.