Медики з Рівного встановили в череп 15-річного волинянина титанову пластину. Фото
Працівники Рівненської обласної дитячой лікарні виконали краніопластику 15-річному хлопцю з Волині, який дев'ять місяців тому отримав складну черепно-мозкову травму.
Про це інформують на сторінці медзакладу у Фейсбуці.
Краніопластика - це хірургічна операція з усунення дефектів черепа, спричинених попередніми травмами або операціями.
Читати ще: Зошити заливало потом: у Львові прооперували 13-річну волинянку з рідкісною хворобою
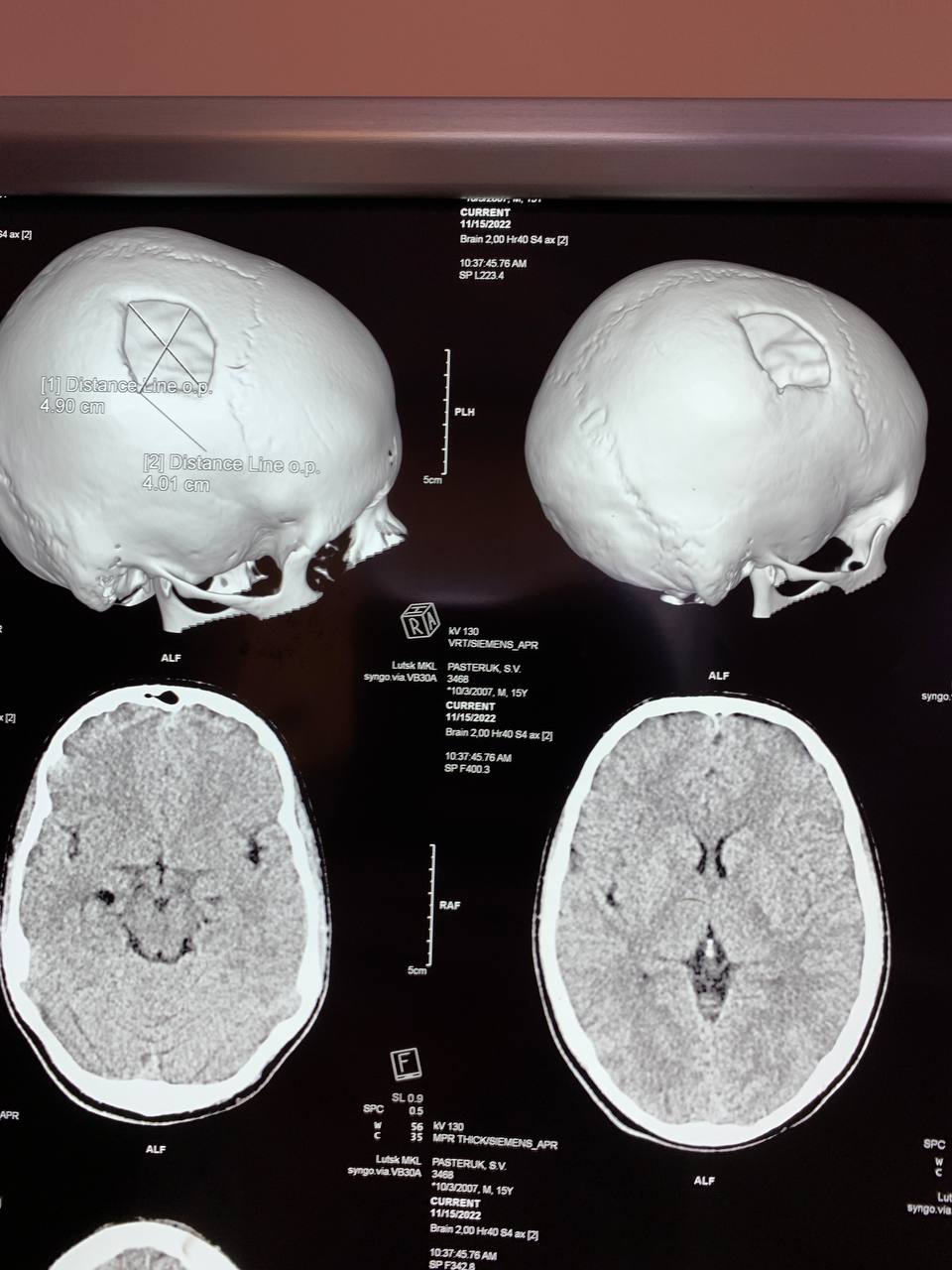
Пошкоджену частину черепної коробки закрили спеціальною титановою пластиною, яка повторює кісткові структури черепа, захищає мозок від ушкоджень.
Оперативне втручання провели лікар-нейрохірург Сергій Романчук та лікар-хірург Ігор Сегін.
Операція пройшла успішно, хлопця на третю добу виписали додому.
Підписуйтесь на наш Telegram-канал, аби першими дізнаватись найактуальніші новини Волині, України та світу
Про це інформують на сторінці медзакладу у Фейсбуці.
Краніопластика - це хірургічна операція з усунення дефектів черепа, спричинених попередніми травмами або операціями.
Читати ще: Зошити заливало потом: у Львові прооперували 13-річну волинянку з рідкісною хворобою
Пошкоджену частину черепної коробки закрили спеціальною титановою пластиною, яка повторює кісткові структури черепа, захищає мозок від ушкоджень.
Оперативне втручання провели лікар-нейрохірург Сергій Романчук та лікар-хірург Ігор Сегін.
Операція пройшла успішно, хлопця на третю добу виписали додому.
Знайшли помилку? Виділіть текст і натисніть
Підписуйтесь на наш Telegram-канал, аби першими дізнаватись найактуальніші новини Волині, України та світу
Коментарів: 0
Росіяни в ніч «перемирʼя» запустили по Україні 67 дронів і провели 10 штурмів на фронті
Сьогодні 09:35
Сьогодні 09:35
Пологи без болю: у Волинському перинатальному розповіли про актуальні методи знеболення
Сьогодні 09:02
Сьогодні 09:02
В обласних центрах створять спецгрупи патрульних для реагування на випадки стрілянини, – Фацевич
Сьогодні 08:29
Сьогодні 08:29




Додати коментар:
УВАГА! Користувач www.volynnews.com має розуміти, що коментування на сайті створені аж ніяк не для політичного піару чи антипіару, зведення особистих рахунків, комерційної реклами, образ, безпідставних звинувачень та інших некоректних і негідних речей. Утім коментарі – це не редакційні матеріали, не мають попередньої модерації, суб’єктивні повідомлення і можуть містити недостовірну інформацію.