212 клубам Волині потрібен капремонт
Матеріально-технічна база сільських клубних закладів Волині слабка: 231 заклад не опалюється, 212 потребують капітальних ремонтів
22 Березня 2011 15:36
Пентагон незабаром припинить активні дії в Лівії
Коаліційні сили незабаром припинять активну фазу військових операцій у Лівії
22 Березня 2011 15:32
Мілан націлився на форварда Динамо
Нападаючий київського Динамо Андрій Ярмоленко потрапив у сферу інтересів італійського Мілана, повідомляє TuttoMercatoWeb з посиланням на La Gazzetta Dello Sport
22 Березня 2011 15:20
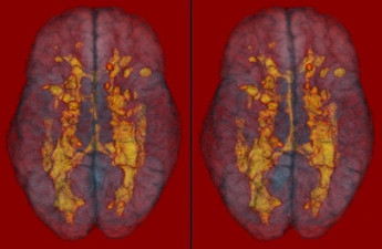
Вчені знайшли "протиотруту" для розсіяного склерозу
Японські дослідники знайшли білок, який "нацьковує" імунітет на клітини нервової системи і поступово знищує нервові волокна, і, відповідно "протиотруту" до нього, що зупиняє розвиток розсіяного склерозу, який є фактично невиліковним
22 Березня 2011 15:11
ГПУ перевірить Литвина у справі Гонгадзе
Генпрокуратура буде розглядати всі версії про причетність вищих посадових осіб до вбивства журналіста [b]Георгія Гонгадзе[/b], в тому числі і спікера парламенту [b]Володимира Литвина[/b]
22 Березня 2011 15:02
Лавки для парку у Луцьку виготовлять вихованці колонії
До 20-ї річниці Незалежності України і початку теплого сезону в Луцьку в парку імені Лесі Українки планують повністю замінити лавки і смітники, поставити чотири нових атракціони та засвіти алеї
22 Березня 2011 14:59
Названо найнадійніший уживаний автомобіль
У результаті дослідження, проведеного британською страховою компанією Warranty Direct, модель Peugeot 207 була визнана найбільш надійною серед уживаних автомобілів у Європі
22 Березня 2011 14:51
Філіпчука звільнять, а Луценка - ні
Генеральна прокуратура Україна має намір сприяти звільненню з-під варти екс-міністрів уряду Юлії Тимошенко, які завершили ознайомлення з матеріалами кримінальних справ, заявив перший заступник генерального прокурора України Ренат Кузьмін
22 Березня 2011 14:36
Японська мафія допомагає постраждалим від цунамі
У районах Японії, які постраждали від землетрусу і цунамі, немає ні мародерства, ні вуличної злочинності. Примітно, що навіть усім відома місцева мафія якудза чим може допомагає жертвам стихії, організовуючи загони для підтримки порядку
22 Березня 2011 14:31
На Рівненщині СБУ затримала "перевертнів у погонах"
Співробітники СБУ викрили та припинили протиправну діяльність двох міліціонерів сектору боротьби з незаконним обігом наркотиків лінійного відділу УМВСУ на Львівській залізниці, які незаконно збували наркозалежним макову соломку
22 Березня 2011 14:21
Складено рейтинг найдорожчих квартир Києва
Найдорожча квартира Києва, виставлена на продаж у березні, коштує $ 7,4 млн, свідчать дані рейтингу, складеного Slando
22 Березня 2011 14:11
Чоловік загинув від вибуху телевізора?
У селі Раків Ліс Камінь-Каширського району на Волині під час пожежі у власному будинку загинув 44-річний Володимир Мись, який мешкав сам
22 Березня 2011 14:07
Виявлено причини, з яких жінки займаються сексом
Коли жінки займаються сексом не з кохання, вони мають на те низку інших причин. Дослідники вирішили з'ясувати, навіщо жінки вступають у статевий зв'язок, і були здивовані: виявилося, у більшості випадків не через пристрасть, а зовсім з інших, доволі "неромантичних", причин
22 Березня 2011 14:00
Минулоріч від туберкульозу померло 182 волинян
Минулоріч на Волині від туберкульозу померло 182 людини, проте смертей серед хворих дітей та підлітків не зафіксовано
22 Березня 2011 13:52
Освітянам пообіцяли підвищити зарплату
На засіданні у середу, 23 березня, Кабмін має ухвалити рішення про 20% надбавку до зарплат освітянам
22 Березня 2011 13:50
Opera представила оновлені версії браузерів
Компанія Opera Software представила нові версії своїх інтернет-браузерів для телефонів і мобільних пристроїв, роблячи ставку на планшетні ПК і соціальні мережі
22 Березня 2011 13:42
Двоє волинян на зрізі горіха побачили Богородицю. ВІДЕО
У селі Сьомаки Луцького району під час спилювання майже півстолітнього горіха двоє чоловіків на обрізаній основі побачили малюнок, що нагадував образ Богородиці
22 Березня 2011 13:32
У Севастополі жінка провалилася в люк тролейбуса
Літня пасажирка провалилися в люк тролейбуса і випала на дорогу, просто під час руху. Постраждалу шпиталізували в тяжкому стані з серйозними травмами ніг
22 Березня 2011 13:31
Сьогодні 14:43
Сьогодні 13:19
Сьогодні 12:23
Сьогодні 11:55
Сьогодні 10:59
